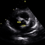
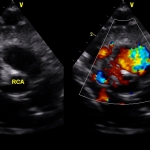
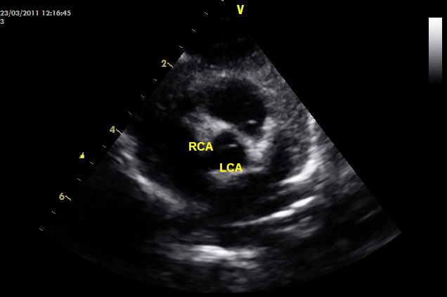
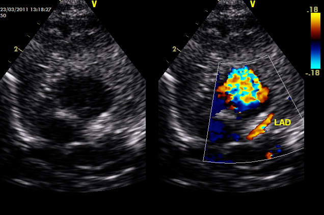
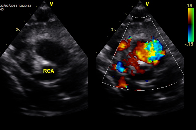
Υπερηχογράφημα (ECHO): φυσιολογική βασική ανατομία, φυσιολογικές διαστάσεις και λειτουργικότητα (συστολική και διαστολική λειτουργία, ελέγχθησαν και με ιστικό Doppler πέραν του συνήθους ελέγχου). Παρακάτω απεικονίζονται τα στεφανιαία. Ελέγχθηκε η έκφυση όχι μόνο με 2D, αλλά και με απεικόνιση της στεφανιαίας ροής με color Doppler (ασυνήθης πρακτική για παιδιά, θα εξηγηθεί ο λόγος στη συνέχεια).


